Dental Implant
is the last resort to replace a missing tooth or teeth if all other means to restore a tooth or teeth are not valid. Dental implant can be placed same day with a tooth or teeth.
Same day implant w/ temporary tooth
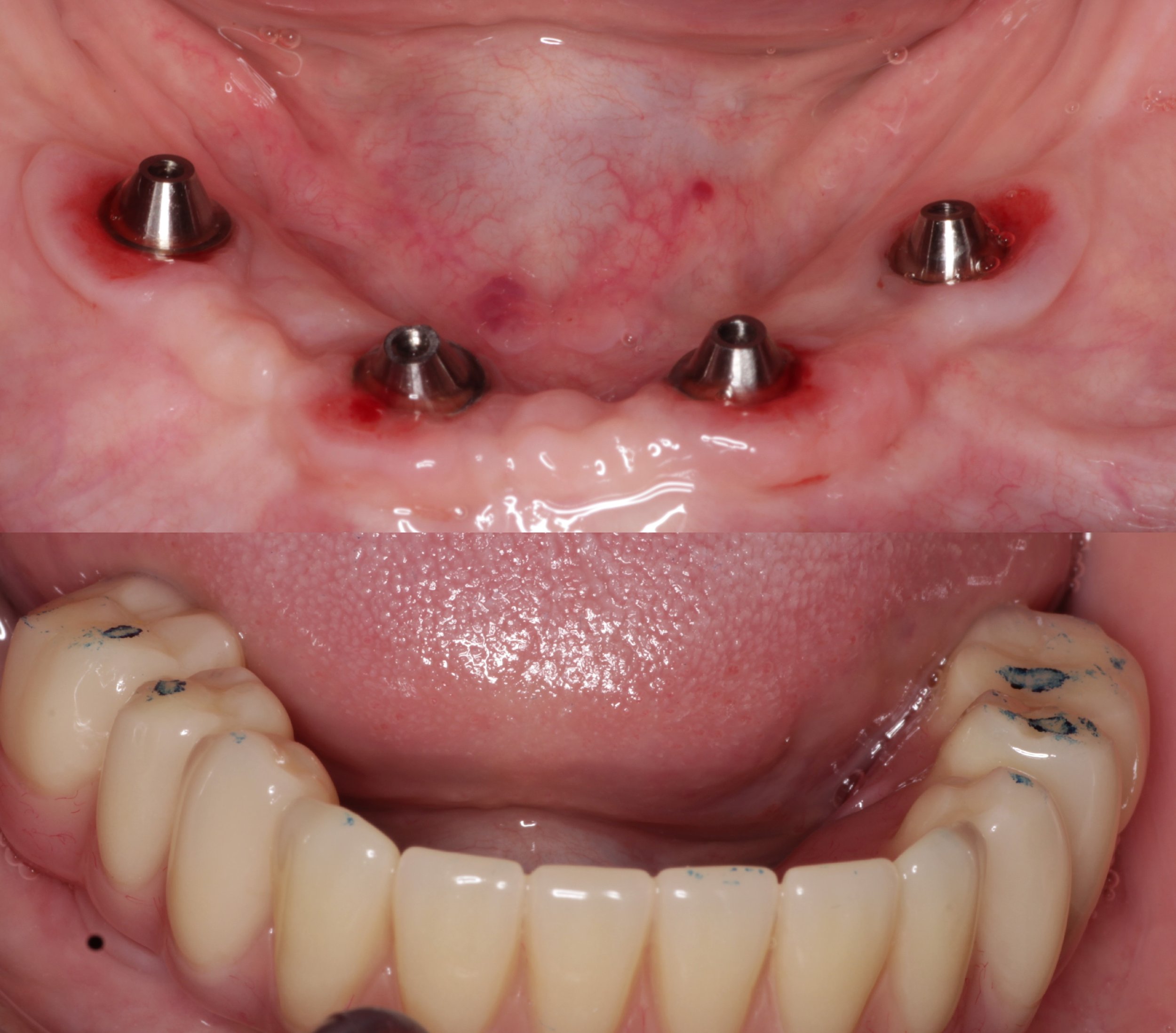
Same day All-on-5
Implant crown
Same day implant w/ temporary tooth
implant crown (L)+ tooth crown (R) in the middle
implant crown (M)+ tooth crowns (R+L)
tooth crown (L)+ implant crown (R)
Implant crown
tooth crown (L)+ implant crown (R)
Same day implant All-On-4 w/ final denture
tooth extracted/ implants placed
Same day implant All-On-4 upper/lower
Same day implant All-On-4 upper/lower
Same day implant+ temporary+final
broken implant crown to new one
infected tooth removed & implant restored
broken tooth & finished implant crown
implants & temporary crowns
implant crown from model to patient
failing dentition and 4 implants
All-on- 4 Implant
is the full mouth dental rehabilitation for terminal dentate patients: severe caries or periodontal (gum) disease. Patient will come in the day of surgery and walks out with a new smile make-over on the same day.
Same day All-on-5
Same day implant All-On-4 w/ final denture
Same day implant All-On-4 upper/lower
Same day implant All-On-4 upper/lower